Cosmetic Bonding
Repair Your Smile with Cosmetic Dental Bonding
If you want to improve minor flaws in your smile, Montz and Maher Dental Group can restore the natural look of your teeth with cosmetic bonding—also known as dental bonding. Cosmetic bonding uses composite resin to smooth over cracks and breaks in your teeth.
The durability and strength of bonding can help your teeth look great for years to come. At our Pearland or Friendswood dental practices, we can help you get a stunning smile with cosmetic bonding that will make your teeth even and smooth. Dental bonding can also repair the following:
- Tooth roots that have been exposed.
- Decayed teeth.
- Teeth that are chipped.
- Crooked teeth.
- Teeth that are misshapen.
- Large gaps between teeth.
- Cracked or broken teeth.
- Teeth that are stained or discolored.




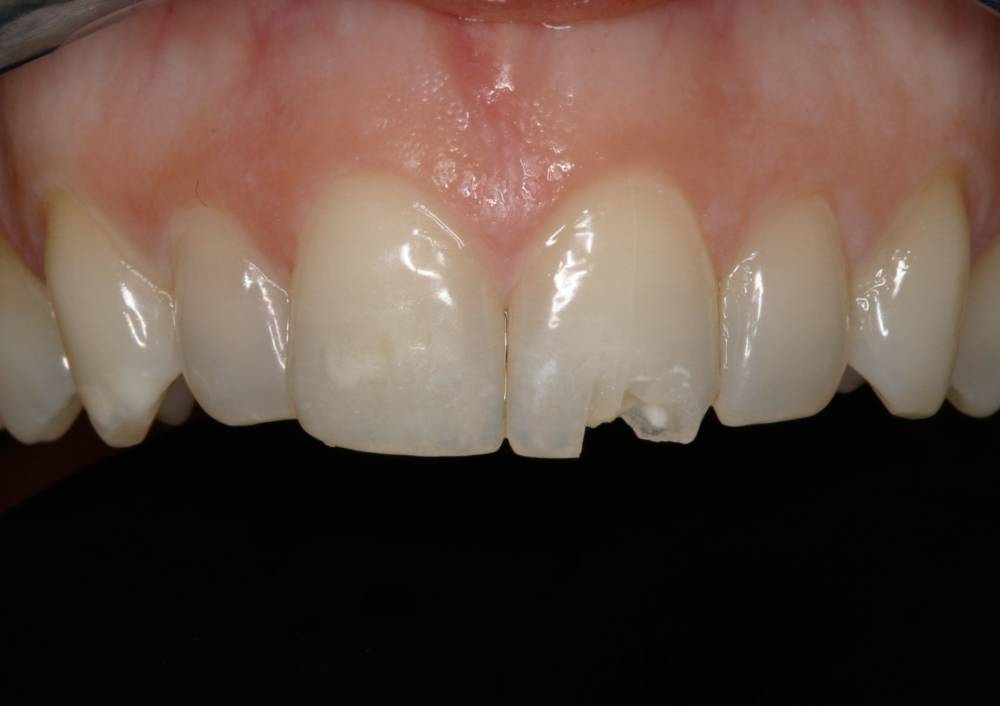
Chipped Tooth Repair
With dental bonding, you can repair a chipped or cracked tooth in a single visit with Montz & Maher Dental Group in Pearland or Friendswood. The bonding material we use can be color-matched to the damaged tooth for a flawless fix to any imperfections.
The dental bonding process allows us to fix the chip or crack in just one visit to our Pearland dental office. If you have a tooth that is cracked or chipped, addressing the issues sooner rather than later help you avoid additional dental health problems that may come from having a damaged tooth.

Benefits of Cosmetic Bonding
If you’re looking for dental bonding treatments in our Friendswood or Pearland offices, you can find bonding has the following advantages: -Cosmetic bonding is a simple process, often completed in one visit. -Dental bonding is a low-cost option for patients with minor flaws in their smiles. -Patients usually don’t need anesthesia for cosmetic bonding. -Your tooth enamel is preserved in most cases.
Dental Bonding Process
Dental bonding is a versatile cosmetic and restorative procedure wherein a tooth-colored resin material is applied and hardened with a special light, bonding the material to the tooth to improve a person’s smile. The process typically involves:
- Preparation: You won’t need to worry too much about preparing for your procedure. Anesthesia often isn’t required unless bonding is used for cavities.
- Matching: Our dentist will select a composite resin color that closely matches the natural shade of your tooth.
- Bonding: We’ll roughen the surface of your tooth and mold the resin onto your tooth until it’s the proper shape.
- Setting: We’ll us an ultraviolet light or laser to harden the material.
- Refinement: After the resin hardens, we’ll trim, shape, and polish it to match the rest of the tooth surface.
This quick and effective process can significantly enhance the aesthetics of a patient’s teeth.
Caring For Your Smile With Dental Bonding
Taking care of your teeth with bonding is the same as if you didn’t have it—so keep brushing and flossing. However, try to kick the habit of biting your nails or eating hard foods. Bonding can last a long time, but eventually, it may need to be repaired or touched up.

Smile Imperfections Corrected in Just One Appointment
Our Friendswood and Pearland, TX, cosmetic dentists will apply a putty-like composite resin, specifically tinted to match your tooth’s color that will rebuild a nicer shape for your tooth. After hardening the resin with a curing light, we’ll artistically sculpt and polish the resin. Cosmetic bonding is an affordable alternative to porcelain veneers or other cosmetic dentistry procedures. One visit to our Friendswood or Pearland cosmetic dental practice can give you a beautiful new smile!
Call our office today to schedule an appointment for cosmetic dentistry if you are in the area, including Manvel!




