Dental Crowns & Bridges
REPLACE MISSING TEETH AND REPAIR BROKEN TEETH
At our Friendswood and Pearland, TX, restorative dental practices, we use state-of-the-art techniques, biocompatible materials, and years of experience in restorative dentistry. Dental crowns and bridges remain some of the most popular tooth restoration options. Tooth crowns and dental bridges are a great option for replacing one or more teeth in your smile.

The Problem With Tooth Loss
Is your self-esteem suffering because of a missing tooth? Surprisingly, your oral health can also suffer. Missing teeth can change your bite and cause shifting, which results in problems with chewing and speaking. TMJ disorders can also be an issue, as well as gum disease, additional tooth loss, and bone deterioration.
Dental Crowns
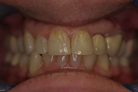
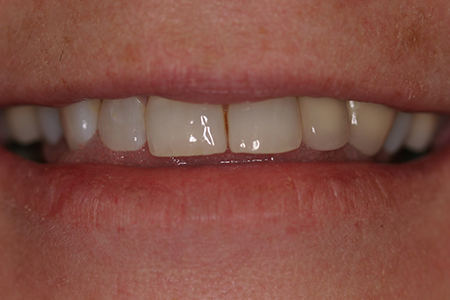
Dental crowns are used to repair a damaged tooth by removing the damaged top part of the tooth and replacing it with a porcelain crown that is custom-made to fit your smile. Dental crowns can be matched to the color of the surrounding teeth for a flawless smile. Our office offers beautiful CEREC same-day crowns. You can get your crown the same day you come in for a consultation—no waiting period necessary!

BENEFITS OF DENTAL CROWNS
If you have a damaged tooth it can cause a lot of pain and it can also lead to additional oral health issues if left untreated. With a dental crown replacement, you will eliminate any pain you are feeling in the damaged tooth and help prevent any additional damage to your gums or the surrounding teeth.
THE DENTAL CROWN PROCESS
Using advanced CEREC technology, dentists capture a precise digital image of your tooth, design the restoration in 3D, and mill the crown in-house. The result? A perfectly fitted porcelain crown in just one visit. The process is easy! It can be completed in just 4 steps:
- Digital imaging: First, we’ll take some very precise images of your teeth.
- 3D design: Using those images, we’ll design your crowns on the computer.
- In-house crown milling: Then we’ll create your crown in about 30 minutes.
- Crown placement: We’ll attach the new crown to your tooth.
Best crown experience in all my 63 years! Perfect fit, no adjustment period. Highly recommend!!
Bennett
Dental Bridges
Dental bridges are affordable teeth-replacement options that can fill in the gaps in your smile. A dental bridge consists of a series of tooth crowns, where the replacement crown fills in the gap and the other tooth crowns act as anchors and are bonded to your natural teeth. Our dentists can place your crown or dental bridge to complete your smile.

BENEFITS OF DENTAL BRIDGES
First and foremost, you will have a full smile again! But aside from that, a dental bridge can also restore your bite so you can speak and chew without problems. Replacing missing teeth also helps maintain your facial structure and helps keep your teeth from shifting out of position.
THE DENTAL BRIDGE PROCESS
Dental bridges replace missing teeth by anchoring an artificial tooth between two crowns. The adjacent teeth are prepped, impressions taken, and a custom bridge is crafted. Once ready, it’s cemented in place, restoring function and aesthetics. Here’s what the bridge process looks like:
- Tooth preparation: The adjacent teeth will need some enamel removed to make room for the crown.
- Impression taking: We’ll take impressions to aid in the bridge design process.
- Bridge crafting: We’ll make your bridge.
- Cementing the bridge: Using a special, dental cement, we’ll attach your bridge to the adjacent teeth.
FIX OR REPLACE YOUR DAMAGED TEETH
Call our office today to schedule an appointment for unparalleled family and cosmetic dentistry if you are in the area, including Manvel!
Before and After Crowns










