Restorative Dentistry
Get Dental Repair Services In Pearland
Do you hesitate to smile because of broken or missing teeth? Dr. David Montz and our associates are ready to help patients get a beautiful and healthy smile that can last a lifetime with dental repair services. Our Friendswood and Pearland dental practices offer a wide range of restorative dentistry services to get you smiling again. Whether you have a tooth infection, damaged teeth, or a missing tooth, we can help your smile with both aesthetic and functionality. We place crowns after root canal therapy as well as replacing missing teeth with dental implants. We look forward to helping you!

Dental Restoration

Our caring and compassionate team can restore your smile to full function. CEREC same-day crown repair can provide a fully functional crown in just one dental visit. We pride ourselves on implants that blend in with your natural teeth. Our crowns, bridges, and other cosmetic and general dental services can put you on the path to a stunning new smile!
Ensuring Your Oral Health
Our team in Pearland will take care of your gum health. Gum disease can lead to more serious problems, including gum tissue and bone damage. The bacteria from gum diseases can also travel to your heart, brain, and lungs.
Renew Your Confidence
Our restorative materials are high-quality and we work with Texas and other American dental laboratories to bring you the best. We work to make sure your restorations blend in with your smile. We also want you to be comfortable, so we offer sedation dentistry for patients with dental anxieties so you can feel relaxed during your appointment.
Transform Your Smile
Don’t be worried if you think your smile has too much damage. Come in for a consultation, and we can create a dental restoration plan for you at our Pearland practice.
- Dental Implants
- Dental Crown and Bridges
- CEREC Crowns
- Tooth-Colored Fillings
Call our office today to schedule an appointment for excellent restorative dentistry if you are in the Pearland area, including Manvel!
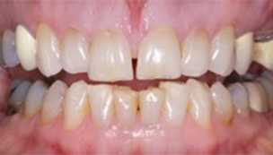
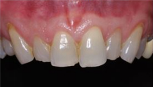
Before and After Full Mouth Restorations










